Implantologie

implantologie
implantologie

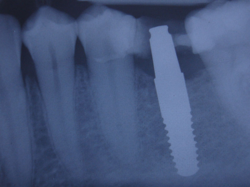
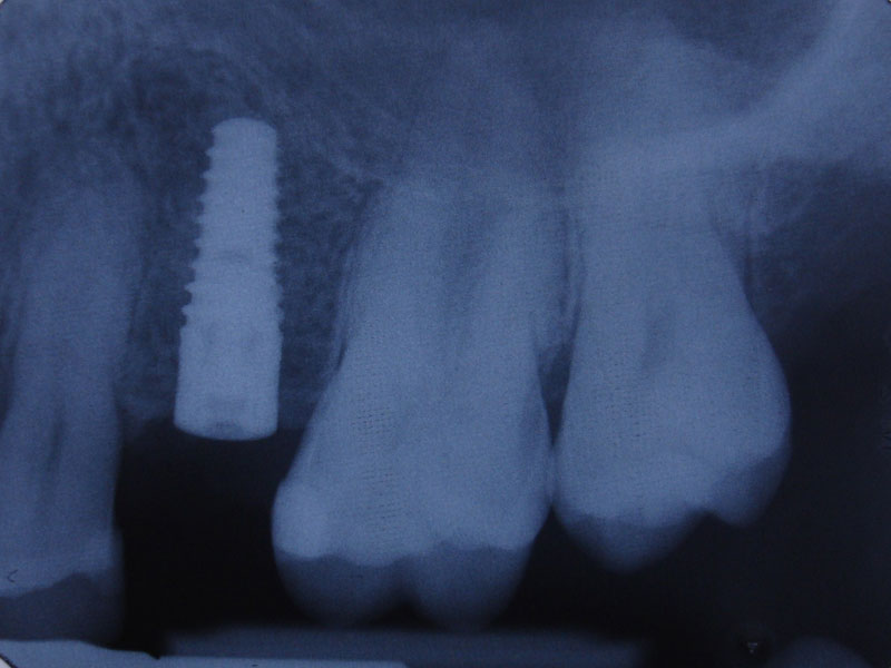
Folosim implanturi dentare WhiteSky si BlueSky, produse de firma Bredent, in Germania.

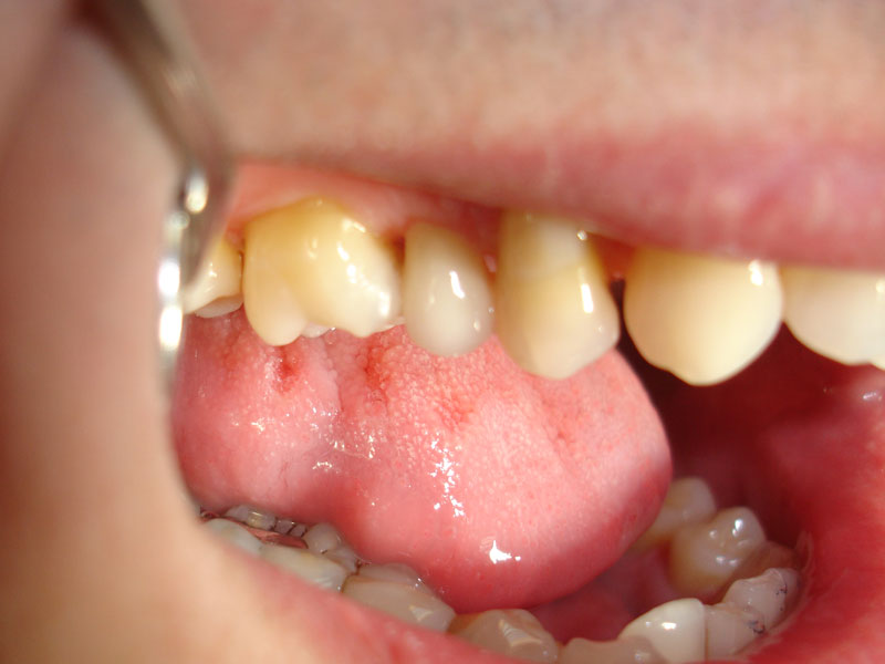
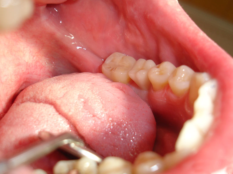
Prin tratamentul cu implanturi dentare se asigura refacerea arcadelor dentare atunci cand nu se doreste devitalizarea si slefuirea unor dinti, sau atunci cand nu sunt suficienti dinti pe care sa poata fi realizata o restaurare protetica fixa.

Implanturile dentare pot fi realizate din titan sau, mai nou, din zirconiu. Implanturile dentare din titan sunt implanturi folosite foarte des si care si-au dovedit rezistenta in timp.

Implanturile dentare de zirconiu sunt mai nou aparute, prezinta o biocompatibilitate si o estetica superiora celor din titan. Sunt indicate in special in zona frontala.

Un rol important in tratamentul cu implanturi dentare il are calitatea acestora, din ce si cum sunt fabricate. Pentru fabricarea implanturilor dentare Firma Bredent foloseste Ti de grad 4, cel mai pur titan utilizat in medicina, fara alte metale, evitand astfel riscul aparitiei complicatiilor.

De asemenea titanul este dublu laminat la rece, procedeu prin care se obtine o rezistenta mecanica superioara altor implanturi dentare care folosesc aliaje ale titanului (grad 1, 2, 3, 5 etc). In timpul procesului de fabricatie o atentie deosebita este acordata indepartarii reziduurilor de orice fel (uleiuri, acizi, substante folosite in producerea oricarui tip de implant dentar). Toate elementele utilizate ulterior in tratamentul protetic pe implanturi dentare sunt de asemenea fabricate din titan de grad 4. Prin toate acestea, numarul esecurilor este redus la minim.

Bredent produce aceste implanturi dentare in Germania, respectand standardele de calitate din Germania.

implantologie
implantologie
implantologie
implantologie
implantologie
implantologie